Carcinoma basocellulare (o basalioma)

Pubblicato il: 23/05/2024

Il carcinoma basocellulare è un tumore maligno della pelle, con un'incidenza molto elevata nella popolazione. Si stima che sia il tumore più frequente al mondo.

È fondamentale l'identificazione precoce con la clinica e la dermatoscopia. Ha un’invasività prevalentemente locale, anche se in una bassa percentuale di casi può metastatizzare. Ogni lesione o macchia cutanea di nuova insorgenza, che non guarisce spontaneamente in circa due-tre settimane dalla sua manifestazione o comunque dopo terapia medica, deve essere trattata come una sospetta neoformazione maligna da indagare con ulteriori accertamenti.
 

Carcinoma basocellulare (o basalioma)

Cause Cause

La maggior parte dei carcinomi basocellulari si manifesta nelle regioni cutanee foto-esposte del volto, del tronco ed in percentuale minore degli arti. È causato prevalentemente dall'esposizione prolungata ai raggi solari.

Possono essere presenti anche altri fattori di rischio, che includono: 

  • fototipo chiaro: le persone con pelle chiara, occhi chiari, capelli rossi o biondi e che si scottano facilmente al sole sono a maggior rischio di sviluppare tumori della pelle, incluso il carcinoma basocellulare; 
  • età avanzata: la maggior parte dei casi di carcinoma basocellulare si verifica in persone di età superiore ai 50 anni; 
  • sesso: i maschi tendono ad avere un rischio leggermente più elevato rispetto alle femmine;
  • radioterapie: alcune procedure terapeutiche, come le radioterapie per i tumori, possono far insorgere mutazioni del DNA che possono aumentare il rischio di sviluppare tumori della pelle; 
  • fattori genetici: esistono sindromi ereditarie, come la sindrome del nevo basocellulare (sindrome di Gorlin), che aumentano il rischio di carcinomi basocellulari. 

Sono stati studiati tuttavia altri fattori di rischio collegati allo sviluppo dei carcinomi basocellullari, tra cui l'HPV ovvero il papilloma virus umano.

Sintomi Sintomi

I sintomi più frequenti sono dolore, prurito, sanguinamento, secrezioni, infiammazione. Anche se la maggior parte di questi sono indolenti e vengono identificati occasionalmente nel corso di valutazioni mediche.

Il carcinoma basocellulare può colpire qualsiasi area della pelle ma solitamente interessa quelle maggiormente esposte ai piedi, come viso, mani e cuoio capelluto, pur potendo manifestarsi anche in zone spesso coperte. In genere, il primo segno evidente è costituito da un segno cutaneo che può assumere varie forme, tra cui: 

  • nodulare: è la forma più comune e appare come un nodulo traslucido, di colore bianco perlaceo o rosato, con piccoli vasi sanguigni superficiali (telangectasie) visibili; 
  • superficiali: sono simili a papule o placche rosa-rossastre con margini ben definiti; solitamente si presentano sul tronco; 
  • morfeiforme: appaiono come cicatrici piatte e indurite, di colore rosso chiaro e con bordi irregolari.

Diagnosi Diagnosi

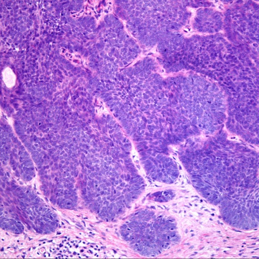
La diagnosi viene effettuata dal dermatologo, o specialista affine, attraverso una corretta anamnesi, un esame clinico ed una accurata dermatoscopia. La diagnosi di certezza, tuttavia, è solamente anatomopatologica, dopo la asportazione chirurgica della neoformazione cutanea.

La diagnosi precoce del carcinoma basocellulare aumenta notevolmente la capacità di trattarlo correttamente. Come detto, questa si basa essenzialmente su un’osservazione tramite dermatoscopio della zona interessata dalla lesione. 

Se l’osservazione tramite dermatoscopio offre segni di sospetto, generalmente si fa ricorso a una biopsia cutanea, che consiste nel prelievo di una piccola parte di tessuto cutaneo lesionato da sottoporre a osservazione al microscopio. In questo modo è possibili distinguere correttamente le eventuali cellule tumorali presenti.

Carcinoma basocellulare (o basalioma)

Rischi Rischi

Il carcinoma basocellulare è una forma di cancro a evoluzione lenta e quindi su cui si può intervenire in modo efficace ma che, senza un trattamento precoce, tende a diventare molto aggressivo localmente. Il carcinoma basocellulare se non trattato può ulcerarsi, provocare sanguinamento, dolore, infiltrazione locale e, più raramente, diventare una malattia sistemica data da metastasi in circolo.

Il carcinoma basocellulare, per quanto raramente, può produrre metastasi a distanza e quindi diffondersi agli organi vitali, mettendo a rischio la sopravvivenza del paziente. In genere, il rischio di metastasi aumenta in presenza di tumori recidivanti.  

Cure e Trattamenti Cure e Trattamenti

Il carcinoma basocellulare può essere trattato con terapia medica (chemioterapia locale), crioablazione, asportazione chirurgica. Il trattamento più efficace immediato e risolutivo è la chirurgia.

La terapia radiante (radioterapia) può essere utilizzata in pazienti con controindicazione alla chirurgia oppure nei carcinomi recidivi e di dimensioni cospicue. 

L'intervento chirurgico si effettua in regime ambulatoriale ed in anestesia locale. Si effettua una incisione a losanga, comprendente al centro il tumore, e si esegue una escissione a lama fredda della neoformazione, facendo attenzione a rispettare dei margini laterali e di profondità di sicurezza di almeno tre millimetri. Si esegue successivamente la sutura della cute con dei punti in nylon o riassorbibili, che potrà essere rimossa dopo circa dieci giorni o, nel caso della sutura riassorbibile, i punti cadranno da soli.

I carcinomi basocellulari non sono pienamente prevenibili; tuttavia, esistono una serie di misure di prevenzione che consentono di ridurre il rischio di svilupparlo e includono principalmente: 

  • protezione solare: è preferibile con un alto fattore di protezione (in base al fototipo del paziente, lo specialista indicherà il prodotto con SPF da utilizzare), da applicare regolarmente prima di ogni esposizione al sole, specie se si possiede una pelle particolarmente chiara;
  • indumenti protettivi: se si passa molto tempo sotto il sole è fondamentale indossare indumenti coprenti per ridurre le aree esposte alla luce; 
  • riduzione delle esposizioni: laddove possibile, è sempre meglio evitare di esporsi alla luce solare nelle ore di massima radiazione (ossia durante le ore centrali della giornata). In tal senso, infine, è bene evitare l’uso di lettini o docce abbronzanti. 

Bibliografia

  • Basal cell carcinoma, Michele S Heath, Anna Barr, Dermatol Clin. 2023 Jan, DOI:10.1016/j.det.2022.07.005
  • Kim DP, Kus KJB, Ruiz E. Basal Cell Carcinoma Review. Hematol Oncol Clin North Am. 2019 Feb;33(1):13-24.
  • Heath MS, Bar A. Basal Cell Carcinoma. Dermatol Clin. 2023 Jan;41(1):13-21.
  • Usatine RP, Heath CR. Basal Cell Carcinoma. Cutis. 2022 Jun;109(6):339-340.

L'informazione presente nel sito deve servire a migliorare, e non a sostituire, il rapporto medico-paziente. In caso di disturbi e/o malattie rivolgiti al tuo medico di base o ad uno specialista.

Revisione Scientifica

Dr.ssa Elisa Catani

Dr.ssa Elisa Catani

Medico Chirurgo, specialista in Chirurgia Generale - Proctologo - Flebologo
Vuoi una parlare con uno specialista?
Hai bisogno di un Dottore per Carcinoma basocellulare (o basalioma)?

Trova il Medico più adatto alle tue esigenze.

Hai bisogno di un Dottore per Carcinoma basocellulare (o basalioma)?
Caricamento...