Fluorosi

della Dr.ssa Daniela Beatrice Calef
Pubblicato il: 20/05/2024
La fluorosi è una patologia orale caratterizzata dall’eccessiva produzione di fluoro durante lo sviluppo dei denti. La patologia interessa lo smalto dei denti; non è una condizione grave, ma può avere un impatto estetico significativo nonché ripercussioni sulla salute orale dell’individuo.

In base ai sintomi presenti, è possibile classificare la fluorosi come segue, in diverse tipologie, ovvero:
 
  • leggera: lo smalto dentale presenta piccoli puntini sulla superficie;
  • lieve: lo smalto presenta macchie bianche su almeno dal 25% al 50% della superficie;
  • moderata: le macchie interessano tutta la superficie;
  • grave: le macchie sono accompagnate da alterazioni quali fossetta o rigature. 
Fluorosi

Cause Cause

La principale causa della fluorosi è un’eccessiva assunzione di fluoro durante l’infanzia, quando i denti non sono ancora formati. Ciò può accadere quando un bambino assume eccessive quantità di fluoro attraverso:
 
  • acqua potabile: in alcuni paesi l’acqua è naturalmente ricca di fluoro;
  • dentifrici contenenti fluoro;
  • integratori di fluoro.
Secondo le linee dettate dall’Organizzazione Mondiale della Sanità, non si dovrebbero superare gli 1,5 mg di fluoro per litro di acqua al giorno.
 

Sintomi Sintomi

La fluorosi può manifestarsi in vari modi, a seconda della gravità della condizione. La gravità della fluorosi dipende dalla dose di fluoro ingerito, dalla durata dell’esposizione e dal periodo in cui essa è avvenuta. I sintomi maggiormente riscontrati nei casi di fluorosi sono:
 
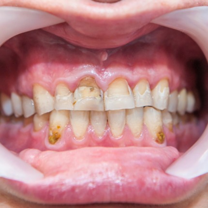
  • macchie sulla superficie dentale: le macchie sono il segno più comune della fluorosi dentale. Possono variare in colore e aspetto a seconda della gravità della condizione. Queste macchie possono essere bianche opache, striate, marroni o nere e possono interessare una o più superfici dei denti;
  • alterazioni della superficie dello smalto: lo smalto dentale può essere danneggiato e presentare irregolarità o rugosità sulla superficie dei denti, specialmente nei casi di fluorosi moderata o grave;
  • difetti strutturali dei denti: nei casi più gravi, la fluorosi può causare difetti strutturali dello smalto come avvallamenti, crepe o cavità sulle superfici dentali;
  • ipersensibilità dentale: il paziente potrebbe avvertire fastidio nel momento in cui i denti entrano in contatto con sostanze dolci, fredde o calde.
In alcuni casi, la fluorosi potrebbe associarsi a onicodistrofia. Quando ciò accade, il soggetto manifesta strie ungueali bianche trasversali (leuconichia).
 

Diagnosi Diagnosi

La diagnosi della fluorosi è clinica, basata sull’analisi dei sintomi riferiti dal paziente, nonché su un attento e scrupoloso colloquio anamnestico. L’iter si articola generalmente come segue:
 
  • anamnesi: il dentista raccoglie informazioni sui sintomi e sulla presenza di eventuali fattori di rischio in qualche modo favorenti per la fluorosi. Questo significa che potrebbero essere fatte domande sulle abitudini di igiene orale, sull’utilizzo di integratori al fluoro e sulla zona di residenza;
  • esame fisico: lo specialista esamina i denti alla ricerca di segni caratteristici della fluorosi, come macchie, striature e altri inestetismi della dentatura. L’uso di una luce adeguata e di strumenti odontoiatrici come lo specchietto e la sonda, potrebbero essere utilizzati per identificare meglio i difetti dello smalto;
  • radiografie dentali: in alcuni casi, il dentista può richiedere radiografie dentali per valutare meglio la struttura dei denti e determinare l’entità del danno allo smalto.
Una volta confermata la diagnosi di fluorosi e aver classificato la condizione (lieve, moderata o grave), l’odontoiatra procederà alla pianificazione del trattamento più adeguato.
 
Fluorosi

Rischi Rischi

Non ci sono rischi gravi associati alla fluorosi; essa ha perlopiù un impatto estetico e di solito non causa dolore o disagio fisico. Tuttavia, in alcuni casi può presentare complicazioni associate ad altre patologie, tra le quali:
 
  • alitosi: la condizione nota anche come alito cattivo;
  • fragilità dentale: nelle forme moderate o gravi, la fluorosi può indebolire la struttura dello smalto dentale, rendendo i denti più suscettibili a danni meccanici come la rottura o l’usura precoce;
  • impatto sulla salute generale: anche se la fluorosi riguarda principalmente i denti, l’assunzione eccessiva di fluoro può avere effetti negativi anche su altre parti del corpo, come le ossa;
  • carie: se non adeguatamente trattata, o comunque trascurata, la fluorosi può portare alla perdita significativa dello smalto dentale, rendendo i denti più vulnerabili ai danni e alla carie.
Pur non essendo una condizione grave, la fluorosi è comunque in grado di incidere significativamente sulla qualità della vita e il benessere psicologico del paziente, a causa della sensibilità dentale e degli inestetismi cui dà origine. Per questa ragione, in caso di confermata diagnosi di fluorosi, è opportuno che i pazienti si rivolgano al proprio medico specialista per avviare il trattamento. Le opzioni sono molte e generalmente sufficienti a risolvere la condizione.
 

Cure e Trattamenti Cure e Trattamenti

Al pari delle smagliature e altri inestetismi, la fluorosi può minare l’autostima del soggetto che ne è affetto. I casi di fluorosi possono essere trattati attraverso procedure odontoiatriche quali:
 
  • sbiancamento: questa procedura può ridurre le macchie superficiali causate dalla fluorosi lieve;
  • applicazione di crema remineralizzante: si tratta di una crema a base di fosfato di calcio che riduce lo scolorimento dentale;
  • bonding dentale: ovvero l’applicazione di un composto resinoso sullo smalto dei denti, in modo da riacquisire la colorazione bianca;
  • applicazione di faccette o corone: procedura prevista per i casi più gravi in cui alle macchie dentali si associano rigature e fossette.
Per i bambini, il monitoraggio dell’assunzione di fluoro è particolarmente importante durante i primi anni di vita, quando i denti sono ancora in fase di sviluppo. Assicurarsi di utilizzare la quantità appropriata di dentifricio per bambini e di seguire le linee guida sui flaconi degli integratori di fluoro, possono essere pratiche utili per prevenire la fluorosi.
 

Bibliografia

  • Niazi FC, Pepper T. Dental Fluorosis. 2023 Jun 1. In: StatPearls [Internet]. Treasure Island (FL): StatPearls Publishing; 2024 Jan–. PMID: 36251814.
  • Wang Q, Meng Q, Meng J. Minimally invasive esthetic management of dental fluorosis: a case report. J Int Med Res. 2020 Oct;48(10):300060520967538. doi: 10.1177/0300060520967538. PMID: 33121307; PMCID: PMC7607159.

L'informazione presente nel sito deve servire a migliorare, e non a sostituire, il rapporto medico-paziente. In caso di disturbi e/o malattie rivolgiti al tuo medico di base o ad uno specialista.

Revisione Scientifica

Dr.ssa Daniela Beatrice Calef

Dr.ssa Daniela Beatrice Calef

Odontoiatra
Vuoi una parlare con uno specialista?
Hai bisogno di un Dottore per Fluorosi?

Trova il Medico più adatto alle tue esigenze.

Hai bisogno di un Dottore per Fluorosi?
Caricamento...