Metastasi cerebrali

Pubblicato il: 18/01/2018 | Ultimo aggiornamento: 21/09/2023

Viene definita metastasi cerebrale la diffusione al cervello, localizzata o estesa, di un tumore primitivo maligno, originato in altri apparati dell'organismo.

Il cervello costituisce, purtroppo, una frequente sede di tale patologia, a causa della sua elevata vascolarizzazione, ma anche della sua naturale protezione dai farmaci chemioterapici, che, pertanto, non sono in grado di impedirne l'invasione da parte del processo neoplastico.

Metastasi cerebrali

Cause Cause

La localizzazione di un tumore originato in altri organi, all'interno del cervello, è favorita, da un lato, dall'elevata vascolarizzazione di quest'ultimo, ma, dall'altro, anche dalla sua naturale protezione dalle terapie farmacologiche antitumorali, che, pertanto, non sono in grado di impedirne l'invasione da parte del processo neoplastico.

Sintomi Sintomi

Il grado di interessamento cerebrale, da parte delle metastasi tumorali, può avvenire attraverso la presenza di neoformazioni singole o multiple, ovvero attraverso un coinvolgimento diretto delle meningi, le membrane che circondano il cervello.

Spesso, il riscontro della loro presenza avviene in modo asintomatico, attraverso le indagini diagnostiche eseguite per la malattia primitiva o in occasione degli esami di follow-up in corso di chemioterapia.

Quando, tuttavia, esse manifestano la loro presenza, la sintomatologia è prevalentemente costituita da una crisi epilettica parziale (insorgenza improvvisa e incontrollabile di movimenti rapidi e ripetuti, a carico di aree del corpo) ovvero generalizzata (la classica convulsione).

Altre volte, invece, esse possono manifestarsi con la perdita della funzione dell'area cerebrale in cui si sono sviluppate (perdita di forza di un arto o di metà del corpo, difficoltà linguistiche, difficoltà visive, disturbi del comportamento).

Diagnosi Diagnosi

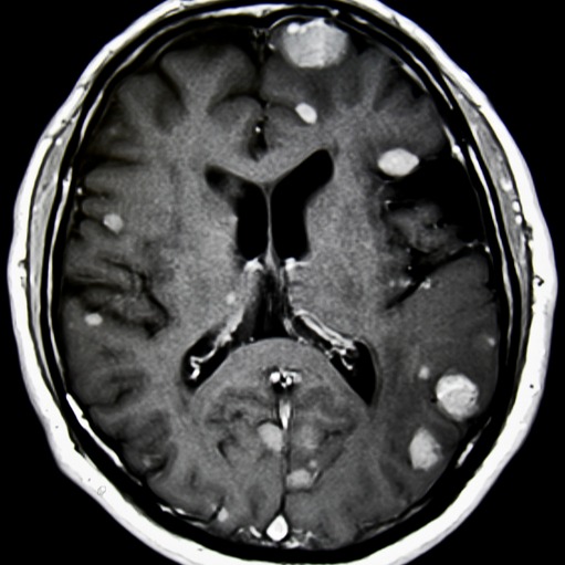
La diagnosi della presenza delle metastasi cerebrali si ottiene grazie ad indagini diagnostiche avanzate come la TAC o, ancor di più, con la Risonanza Magnetica, che offre migliore risoluzione per lo studio del cervello, spesso a seguito di una diagnosi già nota di neoplasia di altri organi.

Quando, invece, non è reperibile da nessuna altra parte dell'organismo alcuna apparente presenza di malattia tumorale nota, occorre acquisire la diagnosi di natura della malattia direttamente dalle neoformazioni cerebrali, attraverso una loro biopsia o asportazione chirurgica.

Rischi Rischi

Una malattia metastatica cerebrale non trattata porta indubbiamente, in poco tempo, ad un peggioramento clinico del paziente con comparsa di gravi disturbi neurologici e quindi, nel tempo, alla morte, a causa di una tendenza ad una sempre maggiore diffusione e ad un incremento della pressione intracranica, per il progressivo aumento di volume delle lesioni.

Cure e Trattamenti Cure e Trattamenti

La terapia delle metastasi cerebrali è il risultato di una valutazione che deve tenere conto, prevalentemente, del volume delle lesioni, del loro numero, della loro sede, delle condizioni generali del paziente oltreché del fatto che, come già detto, il cervello è come un santuario difficilmente raggiungibile da farmaci come i chemioterapici.

Generalmente, in caso di unica lesione cerebrale localizzata in un'area superficiale e poco funzionale e di dimensioni rilevanti (superiori ai 3 cm), la terapia è eminentemente chirurgica. Alla chirurgia, segue quindi il trattamento radiante, che ha lo scopo di "bonificare" l'area occupata dalla lesione dalle possibili cellule residue. Nei casi dove la chirurgia non è indicata, ovvero singole lesioni con piccoli volumi o multiple lesioni disseminate, il trattamento è costituito dalla sola radioterapia.

In questo senso, nell'ultimo ventennio, sono emerse terapie che hanno portato ad un sempre migliore controllo della crescita delle lesioni, attraverso l'uso di radiazioni penetranti che colpiscono solo il bersaglio patologico, risparmiando del tutto il tessuto sano circostante: è il caso della radiochirurgia stereotassica, attraverso apparecchiature come il Gamma Knife, dove vengono usati raggi gamma focalizzati, attraverso un sofisticato e mininvasivo sistema di immobilizzazione della testa e di collimazione, secondo precise coordinate spaziali, solo sulla lesione da colpire.

Tale terapia, erogata nella maggior parte dei casi, in un'unica seduta, è in grado di ottenere un elevato controllo locale sulla malattia, a fronte di un'elevata tollerabilità e dell'assenza dei fastidiosi effetti collaterali del trattamento convenzionale e può, in alcuni casi, essere attuata anche in caso di multipli bersagli, risparmiando gli effetti tossici del classico radio-trattamento sull'intero encefalo.

Quando la lesione è localizzata in zone vicine a organi a rischio, come ad esempio le vie ottiche, la radiochirurgia consente il risparmio di tali strutture grazie alla possibilità di un "frazionamento" della dose di energia radiante, maggiormente tollerata in tali aree.

Bibliografia

  • Niranjan A et al: Guidelines for multiple brain metastases radiosurgery, in Niranjan A, Lunsford D, Kano H: Leksell Radiosurgery, pp. 100-124, 2019, Karger.
  • Buszek SM et al: Postoperative management of recurrence after radiosurgery and surgical resection for brain metastases and predicting benefit from adjuvant radiation. Pract Radiat Oncolo S1879, 7 Jun, 2023.
  • Braky AM et al: Role of advanced MR imaging in diagnosis of neurological malignancies: current status and future perspectives. J Integr Neurosuci 22(3): 73, 2023.
  • Melisso ME: Brain metastases and leptomeningeal disease, in Mehta M et al: Principles and practices of Neuro-oncology, 71: 638-649, 2011, Demos Medical.
  • Greenberg MS: Metastases to the CNS, in Greenberg MS: Handbook of Neurosurgery, pp. 908-921, 2023, 10th ed, Thieme.

L'informazione presente nel sito deve servire a migliorare, e non a sostituire, il rapporto medico-paziente. In caso di disturbi e/o malattie rivolgiti al tuo medico di base o ad uno specialista.

Revisione Scientifica

Dr. Fabio Barone

Dr. Fabio Barone

Medico Chirurgo, specialista in Neurochirurgia
Vuoi una parlare con uno specialista?
Hai bisogno di un Dottore per Metastasi cerebrali?

Trova il Medico più adatto alle tue esigenze.

Hai bisogno di un Dottore per Metastasi cerebrali?
Caricamento...